© Hayashi et al. 2021. Cerebral Cortex May issue front cover. Maturation of complex synaptic connections of layer 5 cortical axons in the posterior thalamic nucleus requires SNAP25.Neurons communicate in the brain through releasing neurotransmitters at their terminals through a process known as synaptic vesicular fusion. If the machinery of this release is blocked, the neurons are unable to release neurotransmitters, so they cannot communicate, and are silenced. Synaptosome-associated protein 25 (SNAP25) is essential for releasing the synaptic vesicles from the neuron’s terminals. A new study from the Molnár group exploited this genetic manipulation to silence selected population of neurons and examine how their synaptic terminals develop during postnatal development in the mouse.
The study demonstrates that neural activity brought about by this vesicle release is not necessary for the formation of synapses, which are the gaps at the end of neurons that allow signals to pass between neurons. However, the neural activity is required for specialised synaptic structures that are critical for neocortical function to mature, namely those between layer 5 corticothalamic projections into the posterior (Po) thalamic nucleus. According to Professor Zoltán Molnár: “This is the first demonstration that manipulation of cortical neurotransmission results in profound changes in the growth and specialisation of synapses. The study demonstrated that abolition of SNAP25, a member of the SNARE complex, is dispensable for the initial formation of layer 5 cortical axon synapses on posterior thalamic (Po) neurons, but it is essential for the further development and specification of the complex synaptic structures.”
The role of neuronal activity in synapse formation in the brain has been extensively studied. It is well established that blocking synaptic transmission by knocking out SNAP25 does not affect synapse formation in embryonic stages. However, previous studies demonstrating normal brain development during the early embryonic stages in SNAP25 null mice do not explore the longer-term role of SNAP25 in synaptic development during postnatal periods. In addition, these studies have tended to address the effect of silencing cortical neurons within limited brain regions, namely the cortex and hippocampus, and not in more distant targets, and tended to use in vitro systems that considerably differ from synaptic development in vivo.
In this new study from the Molnár group, the research team selected a unique and highly specialised synapse, formed by layer 5 corticothalamic projections from the more distant primary somatosensory (S1) cortex, onto thalamic Po neurons. With this, the group investigated how abolition of SNAP25 expression affects this synapse’s development long-term, both in terms of morphogenesis and maturation. In doing so, they have confirmed that neural activity brought about by regulated vesicular release from the presynaptic terminal does not impact the formation of synapses, but this activity is required for the maturation of the specialised synaptic structures between layer 5 corticothalamic projections in Po. Thus, the team have been able to address the far-reaching role of SNAP25 in the establishment, further development, plasticity and maintenance of specialised synapses.
Professor Molnár said: “For the first time, the study demonstrates the considerable changes in synaptic differentiation in the absence of SNAP25. The study will radically change the current way of thinking of synaptic development. Contrary to the predominant view, this data clearly demonstrates that synaptic specialisation and maturation do require intact SNARE complex with SNAP25, although the earliest synapse formation is not affected. This novel and unexpected finding calls for a paradigm shift in our understanding of synapse development and maintenance. It also paves the way for addressing fundamental mechanistic questions of how SNAP25 acts in the presynaptic bouton. How does the regulated synaptic vesicle release contribute to the specialised development of the Po dendritic excrescences? Is it purely activity or some additional SNAP25 dependent mechanism? Are SNAP25 dependent mechanisms involved in neurodegenerative conditions where there is a reduction of activity? Our article is of great interest not only for the field of synaptic and cerebral cortical development, but also for the wider neuroscience community.”
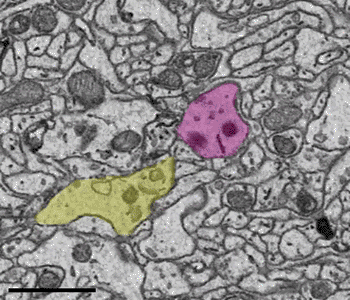
© Molnár Group - Control synapse shows SNAP25 influencing synaptic development
© Molnár Group - Experimental synapse shows neural activity is blocked when SNAP25 is knocked out
The full paper “Maturation of Complex Synaptic Connections of Layer 5 Cortical Axons in the Posterior Thalamic Nucleus Requires SNAP25”, authored by Shuichi Hayashi, Anna Hoerder-Suabedissen, Emi Kiyokage, Catherine Maclachlan, Kazunori Toida, Graham Knott and Zoltán Molnár, is available to read in Cerebral Cortex and can be found on the front cover of the May issue.

